Foenegriek refers to fenugreek seeds and leaves, which are widely used in global cuisines and traditional medicine systems. The seeds...
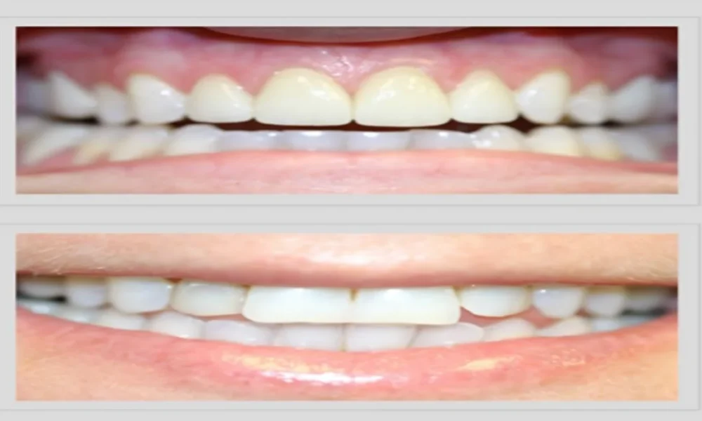
Key Takeaways: Understanding Full Mouth Restoration Full mouth restoration is a comprehensive treatment plan that addresses extensive dental problems by rebuilding or replacing all the teeth...
Alevemente is a holistic approach to stress management to bring ease to your mind, body, and soul. It is about exercises enhancing mindfulness in self-care routines...
In the ever-evolving subject of ophthalmology, precision, portability, and simplicity of use are vital whilst selecting diagnostic equipment. Among the standout devices addressing those wishes is...
As someone deeply interested in how language reflects human experience, I find the Finnish term Hyperfiksaatio particularly fascinating. It translates to “hyperfixation” in English and refers...
OsteoPur is a nutraceutical supplement that has been developed as a specific bone density supplement that can prevent bone loss due to age and maintain the...
VandyWorks is a scheduling and staffing system used by 19,000 employees at Vanderbilt University Medical Center. Created in 2006 by the Clinical Workforce Committee, it supports...
Peñiculs is a holistic health and wellness framework that blends modern techniques with traditional practices such as yoga and meditation. The term “Peñiculs” derives from a...
Kratom, derived from the leaves of the Mitragyna speciosa tree, has been a traditional staple in Southeast Asia for centuries, where laborers often used it to...
Imagine waking up truly refreshed your energy levels boosted and your overall health improving. This post explores a powerful partnership how the ancient practice of yoga...